
¿ä·Î°á¼®
ÇÔ²² ¾Õ¼°¡´Â ÇູÇÑ Å¾365 ºñ´¢ÀÇÇаú
Ãâ»êÀÇ °íÅë°ú °ßÁÙ ¸¸ÇÑ ÅëÁõÀ» µ¿¹ÝÇÏ´Â ÁúȯÀ¸·Î ¿ä·Î°á¼® ½ÉÃþ °Ë»ç·Î º¸´Ù Á¤È®ÇÑ Áø´ÜÀÌ °¡´ÉÇÕ´Ï´Ù.
¹®Áø ¹× º´·Â ûÃë
½Åü°Ë»ç
¼Òº¯°Ë»ç
½ÅÀå¿ä°ü¹æ±¤´Ü¼øÃÔ¿µ(KUB)
°æÁ¤¸Æ½Å¿ìÁ¶¿µ¼ú (IVP)
ÃÊÀ½ÆÄ °Ë»ç
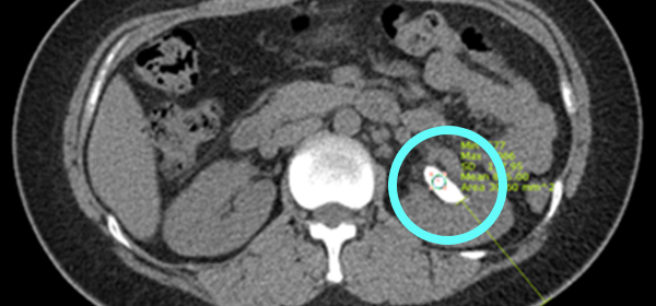
ÄÄÇ»ÅÍ´ÜÃþÃÔ¿µ (CT)